职位推荐
- 珍格医疗-临床销售 15001-20000
- 地奥制药-医药代表 6001-8000
- 普利德医疗-医疗设备销售经理 面议
- 大唐-兼职招商经理 面议
- 景德中药-直营经理 6001-8000
- 安邦医药-省区招商经理 8001-10000
- 恒瑞医药-医药信息沟通专员 6001-8000
- 黄河中药-学术讲师 8001-10000
发布日期:2023-07-18 浏览次数:120
近日,我院胰腺外科彭兵教授团队在腹腔镜保留十二指肠胰头切除术(LDPPHR)上取得了新的突破,术中首次不离断空肠,进行结肠下区胰腺导管十二指肠吻合,改良了LDPPHR术中消化道重建方式。经查阅相关文献报道,同期行腹腔镜下不离断空肠的保留十二指肠胰头全切除+结肠下区胰腺导管十二指肠吻合术,这在国际国内尚属首次。
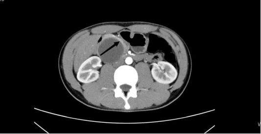
患者黄某,男,21岁,因中上腹痛3+天收入我院胰腺外科,入院前完善相关检查提示:胰头囊实性混合肿块影,最大截面约5.1*4.7cm,考虑实性假乳头状肿瘤可能,拟行腹腔镜下保留十二指肠的胰头切除术。
考虑患者年轻,且良性、低度恶性肿瘤预后良好,为降低手术创伤、保留更多器官功能,经过充分术前评估和准备,凭借团队丰富的手术经验,彭兵教授团队术中采取了改良的消化道重建方式:不离断空肠,将胰颈下拉至结肠下区,行导管对黏膜的直接吻合术,手术共耗时4个半小时,出血仅100ml,吻合耗时40分钟。术后第3天复查腹腔情况良好,术后顺利康复出院,无胰瘘、出血等相关并发症,生活质量良好,术后病理证实为:实性假乳头状肿瘤。
传统的保留十二指肠的胰头切除术需要行Roux-en-Y吻合,即在距十二指肠空肠曲(Treitz韧带)10~15cm处切断空肠及空肠系膜,在距远端空肠40cm处,将近端空肠与远端空肠做端侧吻合或侧侧吻合。

彭兵教授团队创新改良的消化道重建方式不需要离断空肠,仅行胰肠吻合。这种方式保留了消化道的完整性,更符合生理,有利于减少患者的创伤,加速术后康复。同时,将胰肠吻合口置于结肠下,又避免了胰肠吻合口漏腐蚀胆管和十二指肠血管弓,降低了相关风险,有利于减少胆瘘、出血等并发症发生。
腹腔镜保留十二指肠胰头切除术在难度上远远高于腹腔镜胰十二指肠切除术,手术指征有严格要求,手术风险大,胰头被十二指肠以“C”形紧紧环绕,其间更是穿插着胆总管以及十二指肠仅有2-3mm粗的供血动静脉,手术要求术者在腔镜下仅仅切除胰头而不能够损伤十二指肠、胆总管以及其供血血管,对术中解剖的辨识、精准的操作和血运的保护都有很高要求,国内虽有较多中心零星开展,但仅少数医疗中心常规开展,能在常规手术开展中进行创新的中心更是少之又少。
彭兵教授团队自2019年率先开展荧光引导下腹腔镜保留十二指肠胰头切除术,目前已完成超过100例腹腔镜保留十二指肠胰头切除术(LDPPHR)。此次创新改良的术中消化道重建方式,再次体现了我院厚德精业、求实创新的院训文化。截至目前,团队已顺利完成两例该吻合术式,患者恢复良好、顺利出院,出院后随访生活质量较好。该术式有望进一步推广,造福更多患者。
300多万优质简历
17年行业积淀
2万多家合作名企业
微信扫一扫 使用小程序
