职位推荐
- 珍格医疗-临床销售 15001-20000
- 地奥制药-医药代表 6001-8000
- 普利德医疗-医疗设备销售经理 面议
- 大唐-兼职招商经理 面议
- 景德中药-直营经理 6001-8000
- 安邦医药-省区招商经理 8001-10000
- 恒瑞医药-医药信息沟通专员 6001-8000
- 黄河中药-学术讲师 8001-10000
发布日期:2024-01-10 浏览次数:191
近日,我院胸外科陈龙奇教授团队耗时8个小时、为一名胸腔巨大恶性孤立性纤维肿瘤患者实施“右侧胸腔巨大肿瘤切除+右全肺切除术”。肿瘤横径约15cm,纵径约30cm,几乎填满右侧胸腔,广泛侵犯右侧后胸壁、右肺等,牵涉血管神经多,手术难度极大。
恶性孤立性纤维瘤(malignant solitary fibrous tumor, MSFT),是一种极其罕见的间叶源性梭形细胞肿瘤,占所有软组织肉瘤(STSs)和间充质肿瘤的3.7%,据报道发病率为1例/百万人/年。MSFT发病高峰为50-60岁,由于其临床表现比较隐匿,往往发现时肿瘤通常已生长较大并有周围组织及器官的侵犯,甚至出现副肿瘤综合征,即肿瘤的产物异常的免疫反应或其他不明原因,引起内分泌、神经、消化、造血、骨关节、肾脏及皮肤等系统发生病变,出现相应的临床表现。彻底切除肿瘤及受侵组织是MSFT患者的标准治疗方法。
患者为54岁男性,反复头晕,伴胸部隐痛及气喘1+月,于2023年10月前往华西天府医院内分泌科就诊,入院后诊断严重低血糖,完善胸部CT后提示:右侧胸腔巨大软组织肿块影,大小约30cm×20cm×15cm,与后胸壁、右肺及纵隔分界欠清,增强扫描可见明显不均匀强化,内见多发小血管影,纵隔受压左偏,气管下段、右肺主支气管及其分支、左肺主支气管近端受压狭窄,右肺受压不张,右肺动静脉受压变窄。穿刺后病理提示:梭形细胞肿瘤;免疫组化染色结合形态学支持孤立性纤维性肿瘤。
患者在院期间血糖波动较大,考虑孤立性纤维性肿瘤引起低血糖,即Doege-Potter综合征,内科给予对症、支持治疗效果欠佳。患者多次出现头晕、心慌甚至昏迷状态,内科治疗手段被迫中止,患者需尽快手术,若不及时处理,随着肿瘤的持续进展,患者可能面临更为严重的低血糖反应及相关并发症,甚至肺部、血管、神经将被严重侵犯,导致出血、肺部感染、疼痛加剧、功能障碍甚至危及生命。
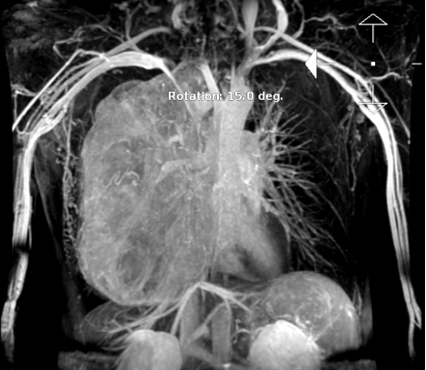
术前影像学图像
血管造影图像
经跨院区会诊后,胸外科陈龙奇教授团队收治患者,进一步完善相关检查,仔细评估手术风险并进行全科室讨论。患者肿瘤体积大、范围广,滋养血管丰富,侵犯右侧支气管;同时,肿瘤上至右侧胸顶,手术视野狭窄,操作受限,故应十分谨慎,避免伤及邻近血管和神经;此外,患者因右侧肺80%被肿瘤压迫不张存在重度混合性通气功能障碍,肺功能重度受损,上腔静脉以及胸椎椎体同样受到压迫,术中稍有不慎就会损伤血管和神经,甚至导致大出血。住院期间,患者通过常规检查膀胱发现新生物(术后病理为:乳头状尿路上皮癌)。这些都为手术增添了难度,也为手术技术处理提出了更高要求。
陈龙奇教授团队联合麻醉科、重症医学科、呼吸与危重症医学科、介入科、泌尿外科、内分泌科等多学科进行会诊讨论,为患者制定尽可能详细、安全的手术策略和应急预案。考虑肿瘤体积巨大,患者手术体位选为斜卧位,使用“hemi-clamshell切口”。该切口常为肺移植手术切口的变式,即经第四肋间外侧切口+横断胸骨,可最大程度暴露手术视野并降低手术风险,同时尽可能不断肋骨。
2023年11月8日,在刘伦旭教授的现场指导下,田东副教授、陈龙奇教授主刀行“右侧胸腔巨大肿瘤切除+右全肺切除术”,泌尿外科行“经尿道膀胱肿瘤电切术+左输尿管支架置入术”。由于肿瘤巨大,对心脏挤压严重,操作空间极小,患者术中生命体征波动较大。为了预防肿瘤出血,团队术前将肿瘤的主要滋养血管进行了介入栓塞,但术中肿瘤与肺脏粘连致密并有侵犯,在切除全肺后,肿瘤表面仍广泛渗血,患者血压一度低至55/40mmHg。由于肿瘤巨大,且与后胸壁粘连致密,无法直视下完整切除肿瘤,主刀医生用手指钝性分离粘连,迅速将肿瘤连同部分后胸壁剥除,防止患者因持续失血而危及生命。手术历时8小时,出血约2000ml。术后患者进入重症监护室,通过ICU的严密监测以及重症医学科、呼吸治疗科、康复科等多科协作,一周后转回胸外科普通病房。患者术后动态监测血糖均在正常范围,尽管右全肺已切除但由于术前患者右肺被肿瘤侵犯已基本无功能,因此患者术后肺功能并无明显变化。在动态监测感染指标以及生化等指标趋于正常后,患者术后三周出院。
此例患者的救治,充分体现了我院处理疑难重症的诊疗优势和学科水平以及跨院区、多学科协同作战的丰富经验,彰显了“以患者为中心”和“医护一体化”的诊疗理念,也展现了我院胸外科团队精湛的手术技术和攻坚克难的自信。
300多万优质简历
17年行业积淀
2万多家合作名企业
微信扫一扫 使用小程序
