职位推荐
- 珍格医疗-临床销售 15001-20000
- 地奥制药-医药代表 6001-8000
- 普利德医疗-医疗设备销售经理 面议
- 大唐-兼职招商经理 面议
- 景德中药-直营经理 6001-8000
- 安邦医药-省区招商经理 8001-10000
- 恒瑞医药-医药信息沟通专员 6001-8000
- 黄河中药-学术讲师 8001-10000
发布日期:2024-02-07 浏览次数:283
近日,我院消化内科胡兵教授在内镜下为一名47岁女性患者切除十二指肠降段约4cm*3cm*2cm包块,术后病理结果提示为低风险的胃肠道间质瘤。十二指肠降段黏膜包块一般处理方式为外科开刀手术,通过内镜切除比较少见。患者后续康复良好,无并发症。
2023年10月,患者樊女士因黑便在当地医院住院治疗,胃镜检查提示为十二指肠降段包块伴溃疡。在当地医院进行止血处理后,为求进一步治疗,经基层医生推荐后于2023年11月23日到我院胡兵教授处就诊。胡兵教授仔细问诊后,建议樊女士完善增强CT。
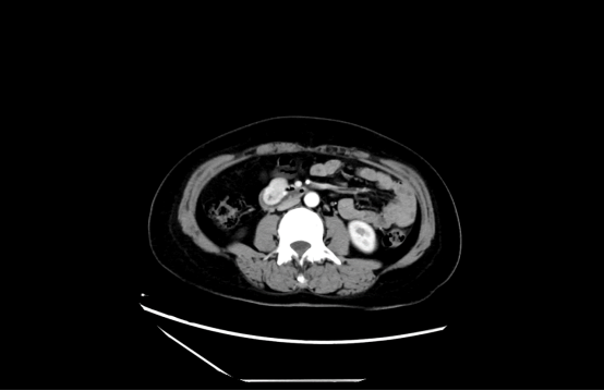
增强CT提示:十二指肠水平段见大小约2.6cm*2.1cm软组织块,向腔外膨胀性生长,边界清楚,增强动脉期明显强化,门脉期强化减弱,十二指肠管腔稍狭窄改变。一般来说,2cm及以上的十二指肠包块均建议外科治疗。由于患者病变靠近十二指肠乳头,外科手术需要做胰十二指肠根治术,该术式难度大、风险高、恢复期长,被称为外科手术中最具挑战性的手术之一。基于此,樊女士及家人对外科手术比较抗拒,希望通过内镜切除。
然而,内镜下无法完全看清包块情况,如需完整切除,势必要进行全层切除术,这也给内镜手术带来巨大的考验和挑战。内镜下全层切除术(endoscopic full-thickness resection,EFTR)是一种主动穿孔的内镜下手术,能较安全地切除深层黏膜下的肿瘤,相较于腹腔镜及开腹手术,创伤较小、且更能保留器官完整性、术后恢复较快。相比食管、胃、结直肠等部位,因为空间狭小、血管丰富、操作困难,内镜下十二指肠手术难度更大,靠近十二指肠乳头部位的手术则更具挑战性,如果不是经验丰富的医生,往往不敢轻易尝试。
在知晓内镜手术难度和风险后,患者及家属坚持向胡兵教授表达了希望内镜下进行切除的强烈愿望,并做好了随时转外科手术的准备。胡兵教授仔细评估患者情况,并制定了详细的手术方案。2023年12月19日,手术进行。由于包块距离十二指肠乳头仅约1cm,且包块周围血管异常丰富,在刚刚开始手术的时候就出现了出血情况,团队及时止血并进行仔细分离。全层剥离后内镜进入到腹腔,手术视野变小,在腹腔内分离包块增大了手术操作难度。外科出身的胡兵教授凭借对解剖结构的熟悉以及丰富经验,经过4个多小时的不懈努力,将包块完整地切除下来。然而,此时仍不能放松,因为创面缝合又是一大难关,病变是通过全层剥离方式切除,故创面较大较深,且十二指肠管腔结构原因导致操作空间狭小。胡兵教授采用双荷包缝合技术耗时半小时对创面进行了缝合。
现场观摩学习的俄罗斯谢东诺夫医院Pavel V.Pavlov教授和印度医生Bimal Kumar Sahu表示,在包块巨大、位置特殊、血管丰富以及腹腔内视野受阻的情况下成功完成手术,让人大开眼界,“在华西见识到了内镜如何挑战极限”。
术后病理结果提示为低风险的胃肠道间质瘤。术后一周,樊女士康复出院;术后随访了解恢复情况良好,按医嘱循序进食,无不适症状。
十二指肠包块如果进行外科手术往往需要切除很多器官并进行吻合,如果由经验丰富的医生进行内镜治疗且无并发症,无疑将给患者带来更大获益。内镜手术的成功也给十二指肠相关疾病患者提供了一种新的选择,也展示了我院内镜中心团队高超和娴熟的技艺。
300多万优质简历
17年行业积淀
2万多家合作名企业
微信扫一扫 使用小程序
