职位推荐
- 珍格医疗-临床销售 15001-20000
- 地奥制药-医药代表 6001-8000
- 普利德医疗-医疗设备销售经理 面议
- 大唐-兼职招商经理 面议
- 景德中药-直营经理 6001-8000
- 安邦医药-省区招商经理 8001-10000
- 恒瑞医药-医药信息沟通专员 6001-8000
- 黄河中药-学术讲师 8001-10000
发布日期:2024-04-22 浏览次数:154
近日,我院肺癌中心周清华教授团队联合多学科再次开展“移心气管重建术”为一名18岁女性腺样囊性癌患者解除了病痛的困扰。手术历时5个小时,病变气管切除达6厘米(气管长度平均在10-13cm),包括经右胸“移心”气管肿瘤切除、右主气管肿瘤切除、隆突切除术、气管与右主气管端端吻合气管重建术,以及经左胸左主气管肿瘤切除、左全肺切除术。目前,患者已康复出院,情况良好。
2023年11月,患者无明显诱因出现痰中带血,伴有明显的胸闷、胸痛症状,于2023年12月在外院完善了胸部CT、穿刺活检确诊为腺样囊性癌。肿瘤不仅侵袭了气管下段,致气管下段及左右主支气管壁增厚;还侵及隆突、右主气管上段及左主支气管全段,致左主支气管狭窄,左肺通气功能明显受限。
腺样囊性癌又称圆柱瘤或圆柱瘤型腺癌。腺样囊性癌占涎腺(唾液腺)肿瘤的5%~10%,在涎腺恶性肿瘤中占24%。好发于涎腺,以发生在腭腺者常见,不多见于气管与肺部。该病例在临床上较为罕见,手术难度和风险都较高。患者及家属辗转国内多家医院求医,均被建议内科保守治疗,行姑息性放化疗。患者年纪尚轻,本人及家属均不愿保守治疗,辗转多家医院寻求积极治疗。
2024年2月21日,患者在我院周清华教授门诊就诊,经绿色通道入院后,周清华教授组织肺癌中心胸外、呼吸、肿瘤等亚专业专家骨干,以及麻醉科、ICU、康复等专业专家,多次进行MDT讨论,为患者制定了以手术为主的个性化治疗方案,并为手术过程中可能发生的紧急情况制定了应急预案。
人类气管长度平均在10-13cm,尚无人工材料可以替代。如果气管发生病变,只能将病变的气管切掉,将剩余的气管上下“拼接”在一起,进行气道重建。周清华教授在国际上首创的“移心气管重建术”,在这个病例上再次得到了应用,将“不可能”变成“可能”。
2024年2月26日,手术进行。手术过程涉及气管肿瘤切除、右主气管肿瘤切除、气管隆突切除重建,以及左主气管肿瘤和左全肺的切除。手术团队不仅需要完整切除肿瘤,还要将心脏和右肺整体上移,以此降低术后气道吻合口张力确保手术的安全性。
肺癌中心周清华教授、车国卫教授、朱大兴副教授联合实施手术,麻醉科刘斌教授、手术室夏青红副护士长等麻醉、护理团队配合。手术采用双切口,先经右胸将心脏和右肺整体上移,然后行气管肿瘤切除、右主气管肿瘤切除、隆突切除术、气管与右主气管端端吻合气管重建术;然后,再经左胸行左主气管肿瘤切除、左全肺切除术。经过5个小时的精细操作,手术完成,切除病变气管6cm,约占气管长度的一半。
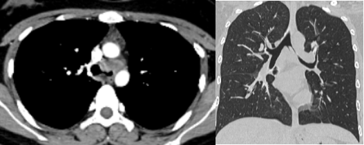
患者术后恢复良好,胸闷、胸痛等症状消失,且没有其他不适感。术后一个月,患者复查胸部CT提示重建气道通畅,吻合口愈合佳。患者目前已出院在家休养,随访了解到,患者已准备继续完成学业。
此次手术不仅为患者带来了新生,也再次展现了华西医院肺癌中心高超的手术技艺和默契的团队配合。肺癌中心将继续致力于提升医疗技术,为患者提供更加优质的医疗服务。周清华教授表示,“我们将继续努力,为更多患者带来希望,为医学进步贡献我们的力量。”
300多万优质简历
17年行业积淀
2万多家合作名企业
微信扫一扫 使用小程序
