职位推荐
- 珍格医疗-临床销售 15001-20000
- 地奥制药-医药代表 6001-8000
- 普利德医疗-医疗设备销售经理 面议
- 大唐-兼职招商经理 面议
- 景德中药-直营经理 6001-8000
- 安邦医药-省区招商经理 8001-10000
- 恒瑞医药-医药信息沟通专员 6001-8000
- 黄河中药-学术讲师 8001-10000
发布日期:2024-06-28 浏览次数:111
“这名白塞氏病患者已经做过2次心脏手术,心脏粘连严重,主动脉根部结构复杂。”“常规手术方式已经无法解决,可以将Commando、Flanged-Bentall和Cabrol手术一起进行试试。”在四川大学华西医院心脏大血管外科病房,肖正华副教授与古君副教授正在为一名已经接受过两次心脏手术的白塞氏病患者讨论治疗方案。目前,成功手术后,患者吕先生已顺利出院。据悉,对白塞氏病患者采用该手术方式在国际上鲜有报道,在西部地区未见报道。
两次心脏手术后5年,再遇生命危机
2019年,吕先生(化名)患上了“心脏瓣膜病”,在贵州当地医院接受了主动脉瓣瓣膜置换。在住院期间又被诊断为白塞氏病,并规律服用激素进行治疗,暂时解除了危机。
术后4个月,吕先生出现人工主动脉瓣瓣架撕脱,他又来到当地医院再次进行主动脉瓣置换+二尖瓣成型+三尖瓣成型术。术后定期复查,这5年来病情控制得很好,这也让吕先生放心不少。
然而2个月前,吕先生再次出现心累胸闷等症状,身体每况愈下。在当地医院经过超声心动图检查后提示“人工主动脉瓣瓣架撕脱、大量瓣周漏、主动脉根部假性动脉瘤”。“你这个病情太复杂了,我们这儿无法处理类似情况,建议去其他医院治疗。”当听到主治医生的这句话后,吕先生开始四处打听有复杂再次主动脉根部手术治疗经验的医生。今年5月,吕先生慕名来到四川大学华西医院心脏大血管外科肖正华副教授处就诊。
突破常规,3种高难度手术同时进行
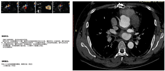
白塞病是一种罕见的全身性血管炎性疾病,可累及多个系统器官,吕先生除了典型的白塞病表现外,还出现了瓣膜术后瓣架撕脱、大量瓣周漏合并主动脉假性动脉瘤的罕见并发症(图1)。由于接受过两次心脏手术,心脏粘连严重,主动脉根部结构复杂。“要缓解当前病情,常规手术方式已经无法解决。”这是摆在肖正华面前的第一个难题。

图 1A 术前经食道超声心动图,B 增强CT
经过反复评估病情,全科大讨论,以及与麻醉团队、体外循环团队、胸心血管重症监护室团队进行充分讨论后,肖正华决定给患者实施复杂“UFO”手术,即“体外循环下再次Commando+Flanged-Bentall+Cabrol”(二尖瓣+主动脉瓣双瓣环扩大,主动脉二尖瓣幕帘重建+主动脉根部替换+冠状动脉Cabrol分流)手术。“因为这类手术太复杂太高难度,而且对医护团队的要求极高,所以在心脏外科专业称为‘UFO’手术。”肖正华表示。
Commando手术需要切开整个主动脉根部、主动脉二尖瓣幕帘、左房顶,房间隔以及右房顶,扩大两个瓣环后进行双瓣置换,并在完成双瓣膜置换后将这些结构完全重建。这类手术是一次性的、不能回头的手术,在心脏大血管外科业界被喻为“突击队手术”。在白塞氏病中,反复的炎症变化会使心脏及血管结构变得脆弱,而Flanged Bentall手术通过将主动脉瓣环缝合到人工血管材料上,能够减少瓣环受到的张力,确保更紧密的贴合,有效预防瓣周漏的发生。Cabrol手术则是对于再次主动脉根部手术,由于周围组织的粘连增厚,导致冠脉无法完全游离松解,采用8-10mm人工血管进行冠脉的原位吻合,然后再将人工血管吻合升主动脉的方法,可以降低冠脉出血的风险,减轻张力,也可以预防远期吻合口漏的技术。
以上3个术式单独实施已属于极高难度,合并实施不仅难度极高而且风险巨大,为此肖正华和古君与患者及其家属充分交流,与麻醉科余海教授、宋海波教授团队,汪勃护师体外循环灌注团队充分讨论,开始进行扎实的术前准备。
手术“三步走”,9个小时后患者重获新生
“我把自己交给你们,我很放心。”术前,吕先生说。面对患者重托,多学科专家团队不断推敲手术方式。最终决定手术分三步进行:充分游离+术野显露、重建二尖瓣瓣环及主动脉幕帘,以及重建主动脉根部+体外循环停机。
手术正式开始。在第一步中,肖正华和古君采用再次正中开胸,仔细分离胸骨后粘连。由于是第三次手术,加上患者长期服用激素以及免疫抑制剂,整个组织粘连严重,通过谨慎分离粘连后,显露主动脉根部及右心房。经股动脉及上下腔静脉建立体外循环,降温,阻断升主动脉,采用冠状静脉窦逆灌结合顺灌进行心肌保护。充分游离主动脉根部,可见主动脉瓣架大部分撕脱,主动脉瓣环毁损,主动脉根部组织脆弱,主动脉根部可见一假性动脉瘤与左心室相通(图2)。拆除原人工机械瓣膜,游离左右冠开口呈纽扣状(button)。切开主动脉二尖瓣幕帘、左房顶、房间隔、右心房,显露二尖瓣,拆除原二尖瓣成形环。

图2主动脉瓣架大部分撕脱,瓣周漏
第一步顺利完成,两位医生立马开始“二尖瓣置换、重建二尖瓣瓣环及主动脉幕帘”。拆除二尖瓣成形环后,切除二尖瓣前瓣及瓣下结构,保留部分后瓣。测瓣后置入27mm人工机械瓣,由于整个主动脉二尖瓣幕帘的毁损,取牛心包片修剪后重建二尖瓣前瓣瓣环以及主动脉幕帘,同时采用牛心包重建左房顶(图3)。

图3二尖瓣置换+重建主动脉二尖瓣幕帘
最后一步也是最关键的一步——重建主动脉根部+体外循环停机 。两位医生将23mm人工机械瓣与28mm人工血管组装成瓣膜上移带瓣管道(The flanged technique),采用牛心包加固并重建主动脉瓣环,植入新组装的瓣膜上移带瓣管道(图4),左右冠状动脉开口经8mm工血管连接后,与升主动脉人工血管进行侧侧吻合,开放主动脉,心脏自动复跳恢复为窦性心律,无房室传导阻滞,辅助循环,停机顺利,食道超声示心脏收缩功能良好,主动脉瓣及二尖瓣开闭良好。
当所有的手术步骤完成,整个战役的最危险阶段已经顺利度过(图4)。这场持续了长达9个小时的挑战不仅考验了主刀医生的医疗技术,更考验了团队成员间的默契配合。每位参与手术的医护人员都经过四川大学华西医院严格地训练,作为一个优秀的团队,精准而有力地执行每一个步骤。当患者顺利脱离体外循环,生命体征逐渐稳定时,整个手术室洋溢着一种宁静的喜悦。医护人员们长时间的紧张和专注在此刻得到了释放,他们心中的担忧也随之消散。这不仅是一场手术的胜利,更是医学团队合作和坚韧不拔精神的完美诠释。

图4A,B Flanged bentall+Cabrol,C 术野止血后
手术结束后,患者转回胸心血管重症监护室监护(图5)。由于患者术前病变重,心功能严重受损,同时需要合并白塞氏病的治疗,手术成功仅仅是第一步,术后的监护是我们打赢这场仗的另外一个关键战场。在范景秀教授、曹舸教授以及曾玲护士长带领的医护团队的共同努力和细心照料下,患者吕先生术后第二天便拔除气管插管,无创支持一段时间后顺利转回病房。术后复查彩超及CT 提示升主动脉见人工血管影,管腔通畅,未见充盈缺损,左右冠状动脉经人工桥血管连接,侧侧吻合人工桥血管于升主动脉人工血管;人工瓣膜功能正常。

图 5术后手术团队合照
此成功案例再次突显了华西医院作为西南地区疑难重症中心的卓越实力,该手术在全球来说也是高难度的手术。在这次充满挑战的手术中,心脏大血管外科、麻醉科和胸心血管重症监护室等多学科团队紧密协作,展现了无与伦比的配合与专业,为患者提供了高效且安全的治疗方案。这种协作不仅仅是技术能力的展示,更是医疗团队对于综合治疗和患者护理的承诺。四川大学华西医院凭借其强大的资源和丰富的经验,不断推动医学进步,致力于为更多患者带来健康和希望。
300多万优质简历
17年行业积淀
2万多家合作名企业
微信扫一扫 使用小程序
