职位推荐
- 珍格医疗-临床销售 15001-20000
- 地奥制药-医药代表 6001-8000
- 普利德医疗-医疗设备销售经理 面议
- 大唐-兼职招商经理 面议
- 景德中药-直营经理 6001-8000
- 安邦医药-省区招商经理 8001-10000
- 恒瑞医药-医药信息沟通专员 6001-8000
- 黄河中药-学术讲师 8001-10000
发布日期:2024-08-22 浏览次数:160
近日,我院胸外科刘伦旭教授、蒲强教授、廖虎副教授成功为一名47岁女性患者实施穿刺导航机器人辅助下、联合CT肺结节射频消融术。患者术后无并发症,术后胸部CT检查显示无异常,术后1天即出院。据了解,这是全省首例在穿刺导航机器人辅助下完成的肺结节射频消融术,这也为多发肺结节(多原发肺癌)患者提供了一种安全可靠、极致微创的解决方案。
患者李女士今年47岁,2021年体检发现右肺多发结节,无咳嗽、咳痰、胸闷、胸痛等症状。后在当地医院及时进行胸腔镜下右肺上叶、中叶、下叶多处切除术,术后病理诊断均为腺癌。李女士一直坚持随访复查,术后一年发现右肺中叶新发磨玻璃结节,后定期随访发现结节呈增长趋势,考虑异时性多原发肺癌可能性大。
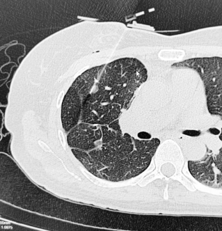
由于既往右肺手术切除范围大,且术后胸腔粘连,再次手术创伤大,患者多方辗转后被推荐前往华西医院就诊治疗。2024年7月31日,患者为寻求进一步治疗来到我院胸外科廖虎副教授门诊就诊。胸部CT检查显示,患者右肺中叶可见一新发混合密度磨玻璃结节,大小约为0.8cm×0.6cm,边界较清晰;左肺下叶基底段小结节大小约0.3cm×0.2 cm。

围绕患者病情,刘伦旭教授、蒲强教授、廖虎副教授团队经过讨论,总结为:第一,患者肺癌术后,双肺多发小结节,其中右肺中叶新发混合密度结节随访过程中逐渐增大,有干预指征。患者三年前已行手术切除右肺多处组织,为避免再次手术影响呼吸功能和生活质量,可考虑选择经皮穿刺的肺结节射频消融治疗。第二,该结节大小为0.8×0.6cm,体积较小,既往手术的吻合钉可能干扰穿刺路径,常规方法难度大、风险高,可选择可精准定位导航的机器人进行辅助穿刺。在与患者及家属充分沟通后,团队决定采用穿刺导航机器人辅助、联合CT完成肺结节射频消融术。
随后,团队进行了扎实的术前准备,包括穿刺方案、消融方案,以及术中可能遇到的并发症及应对措施,术后并发症的预防和处置方案等。2024年8月11日,手术进行,刘伦旭教授、蒲强教授进行指导,廖虎副教授主刀。术中,首先将CT扫描实时数据导入穿刺导航机器人,并在机器人上规划预设好穿刺路径,通过呼吸门控技术过滤掉患者自主呼吸的影响,然后在机械臂红外激光的引导下进行穿刺,穿刺成功后行射频消融治疗。

手术用时半小时。术中采用局部麻醉,患者无明显不适,未出现气胸、血胸等并发症。术后观察,患者无特殊不适,顺利返回病房。术后1天复查胸片无特殊即安排出院。

手术是早期肺癌患者首选的治疗手段,然而对于多发结节(多原发肺癌),外科医生和患者本人常常陷入两难选择中:要么完整切除全部肿瘤,但是损伤大,生活质量差;要么部分切除肿瘤,但是肿瘤可能继续长大威胁生命。肿瘤介入消融是一种创伤小、对正常器官及组织损伤小、可重复使用的治疗手段,在小型肝癌、甲状腺结节等疾病中广泛运用。肺结节介入消融作为外科手术的补充,在胸外科的运用也越来越广泛。对多原发肺癌患者而言,如果肿瘤较大,临床评估恶性程度高的,可通过微创胸腔镜精准切除;如果肿瘤较小、恶性程度较低,且手术切除导致正常肺组织损失大的,可选择介入消融。
射频消融治疗技术创伤小、耐受性好,能最大程度保留肺功能,还可用于不能耐受手术的肺癌患者。如果肺部小结节,尤其是<1cm的磨玻璃结节介入穿刺难度大、风险高、学习曲线长,穿刺导航机器人的出现很好解决了这一难题。
四川大学华西医院胸外科开展穿刺导航机器人辅助穿刺消融,采用单孔胸腔镜精准切除+机器人导航精准消融治疗多原发肺癌,为多发结节(多原发肺癌)患者提供了效果明确、安全可靠、极致微创的全新解决方案。
300多万优质简历
17年行业积淀
2万多家合作名企业
微信扫一扫 使用小程序
