职位推荐
- 珍格医疗-临床销售 15001-20000
- 地奥制药-医药代表 6001-8000
- 普利德医疗-医疗设备销售经理 面议
- 大唐-兼职招商经理 面议
- 景德中药-直营经理 6001-8000
- 安邦医药-省区招商经理 8001-10000
- 恒瑞医药-医药信息沟通专员 6001-8000
- 黄河中药-学术讲师 8001-10000
发布日期:2024-10-16 浏览次数:179
近日,我院消化内科杨丽教授、罗薛峰副教授、王小泽副教授采用经皮经肝逆向穿刺技术成功治疗一名肝静脉闭塞型布加综合征患者。患者术后2天即康复出院,随访恢复良好。
布加综合征是较为常见的肝脏血管性疾病,肝静脉闭塞型布加综合征在亚洲较为少见,其治疗难度也较大。消化内科团队利用超声和X光透视的引导,经皮经肝精准逆向穿刺开通闭塞血管,展示了我院消化介入团队高超娴熟的技艺,也为患者提供了更精准的微创治疗选择。
患者李先生59岁,2个多月前因双下肢水肿伴腹胀到当地医院就诊,检查发现肝硬化。为明确肝硬化病因,经推荐后于我院消化内科王小泽副教授门诊就诊,并作进一步检查。
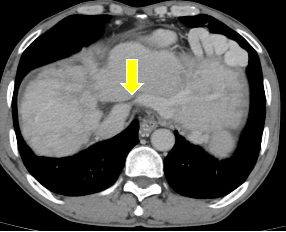
增强CT提示,李先生肝脏呈花斑样改变,三支肝静脉(肝右静脉、肝左静脉、肝中静脉)均异常,肝右静脉和肝中静脉未汇入下腔静脉,肝左静脉根部重度狭窄或有隔膜,继发心包旁大量侧支循环开放,提示布加综合征。
图1 增强CT提示肝左静脉流出端重度狭窄或闭塞
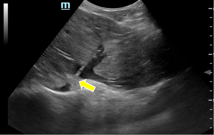
图2 彩超引导下经皮经肝逆行穿刺肝左静脉闭塞处

图3 肝左静脉造影示流出端闭塞,大量侧枝血管显影
布加综合征是起源于从肝内的肝小静脉段到下腔静脉和右心房任何一处的肝静脉流出道阻塞。可导致肝衰竭、肝硬化及门脉高压并发症等多种表现。在国内,布加综合征患者以下腔静脉型为主,像李先生这样的单纯肝静脉型病变相对少见。常规介入技术从右侧颈内静脉穿刺入路,经下腔静脉在X光透视下尝试探入肝静脉并进一步扩张狭窄或闭塞的血管部分。李先生肝静脉回流障碍,导致肝脏持续淤血及肝后性门静脉高压,治疗上只需开通一支肝静脉即可解决血液回流障碍。相对而言,肝左静脉开通可能性最大,但是肝左静脉完全闭塞,且走形与肝后段下腔静脉呈垂直关系,导丝及导管无法经下腔静脉“自上而下”探入肝左静脉,而X光透视下无法定位肝静脉准确位置,如果盲目穿刺,下腔静脉及心房破裂出血风险极大。介入手术团队仔细评估患者血管解剖情况,讨论后决定采用超声引导下经皮经肝逆向穿刺肝左静脉闭塞处建立通道来开通肝左静脉。
8月6日,罗薛峰副教授和王小泽副教授为患者进行介入手术。超声引导下以穿刺针经皮经肝穿刺肝左静脉,穿刺针继续在肝左静脉内前进,直至穿过闭塞处进入下腔静脉,谨慎避开心脏。X光透视下推注造影剂明确针尖顺利进入下腔静脉后,将导丝顺着这一通道置入上腔静脉内。然后穿刺右侧颈内静脉,用血管内抓捕器从上而下抓取导丝建立通路,继而引入球囊对肝左静脉流出端进行扩张。经过多次扩张后,复查血管造影可见肝左静脉回流完全通畅,侧枝血管均未再显影。

图4 术后复查造影示肝左静脉回流通畅
手术耗时40分钟,术后次日患者下肢水肿及腹胀的表现均明显改善,术后2天即康复出院,随访期间也未诉不适症状。
虽然布加综合征是较为常见的肝脏血管性疾病,但肝静脉闭塞型布加综合征在亚洲较为少见,其治疗难度也较大。该手术难点在于突破常规途径,从下腔静脉进入完全闭塞的肝静脉,在超声和X光透视的引导精准穿刺开通闭塞血管,展示了我院消化介入团队高超和娴熟的技艺。患者的肝脏血管性疾病不仅得到根治,而且创伤小、恢复时间快。
300多万优质简历
17年行业积淀
2万多家合作名企业
微信扫一扫 使用小程序
