职位推荐
- 珍格医疗-临床销售 15001-20000
- 地奥制药-医药代表 6001-8000
- 普利德医疗-医疗设备销售经理 面议
- 大唐-兼职招商经理 面议
- 景德中药-直营经理 6001-8000
- 安邦医药-省区招商经理 8001-10000
- 恒瑞医药-医药信息沟通专员 6001-8000
- 黄河中药-学术讲师 8001-10000
发布日期:2024-11-01 浏览次数:136
近日,我院肾脏内科崔天蕾教授团队,通过穿刺右心房,成功为一名上腔静脉和下腔静脉联合闭塞的尿毒症疑难患者建立了长期的血管通路,保证了患者后续的治疗与生活质量。
黑龙江省的赵阿姨,57岁,8年前被确诊为尿毒症,由于基础疾病导致四肢血管条件不佳,长期依赖右颈内静脉带涤纶套导管进行透析治疗。然而,随着透析时长的增加,她的中心静脉病变逐渐加重,出现了上腔静脉和下腔静脉闭塞、导管功能障碍的情况,给血液透析通路的建立带来了极大的挑战。她辗转多家医院,但始终未能找到有效的解决方案。3个月前,赵阿姨在朋友的介绍下,抱着试一试的态度,来到我院肾脏内科崔天蕾教授门诊就诊。
经过详细检查,崔天蕾教授团队发现赵阿姨的上腔静脉存在长段闭塞,下腔静脉和双侧髂静脉同样闭塞,奇静脉代偿能力极差。按照常规介入手术方案,无法再通血管,开胸手术则创伤过大。为解决赵阿姨的透析导管再植入问题,团队精心设计了经上腔静脉残端穿刺右心房的手术方案。然后,崔天蕾教授团队在手术中发现患者的上腔静脉闭塞处近心端与正常右心房交界处病变严重,按照原有的手术计划,普通钢针穿刺无法成功进入腔内,如果强行穿刺会造成大出血等严重后果,于是手术被迫停止。
在征求家属的意见后,崔天雷教授团队再次向这一医学难题发起挑战,多次组织团队成员开展手术方案大讨论。由于赵阿姨上腔静脉闭塞的位置极为特殊,右侧头臂静脉闭塞和颈内静脉近心端闭塞同时存在,从右侧颈部到右心房全程只有奇静脉开口附近有血流信号,周围环绕着重要的血管和器官,穿刺空间狭小,不足1毫米;不断跳动的心脏也对穿刺的时机把握和准确性提出了极高的要求,一旦错失时机,穿刺针将无法正常进入右心房。穿刺过程中,一旦损伤到肺动脉或主动脉系统,造成心包或者心脏穿孔,都可能危及患者生命。
右心房穿刺置管建立透析血管通路——这是崔天蕾教授团队给出的最新治疗方案,也是这项创新技术的首次运用。有别于普通的颈内静脉穿刺置管,崔天蕾教授团队先后实现了低位的头臂静脉、上腔静脉的穿刺,相关研究被国际权威指南引用。此次手术,团队更进一步成功穿刺右心房并置管,不断突破中心静脉操作的禁区。
崔天蕾教授湍东运用经颈静脉肝内穿刺器械RUPS和房间隔穿刺针等多种手术器械,凭借精湛的技术和严谨的操作,克服了心脏搏动带来的干扰,成功在狭窄的穿刺区域中精确穿刺右心房,实现了上腔静脉闭塞处的导管再次植入。手术历时1小时10分钟,术后患者透析顺利,术后第三天出院。目前经过2个月的门诊随访,未见手术并发症及其他不适,该手术不仅为赵阿姨解决了透析通路的问题,也为血管通路的发展提供了新的思路和方法。
本例右心房穿刺置管手术的成功开展,体现了崔天蕾教授团队在疑难血管通路领域的深厚功底,为更多像赵阿姨一样的尿毒症透析患者带来了生命的希望。未来,团队还将继续致力于医疗技术的创新,为肾脏病患者提供更加优质的医疗服务。

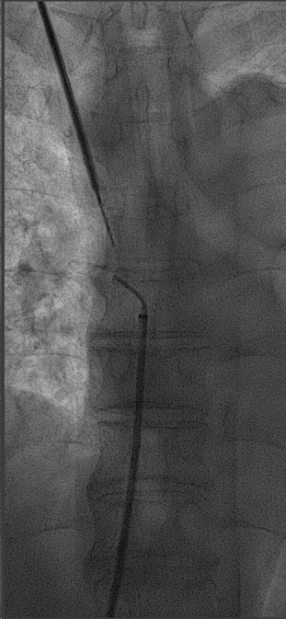
经右侧颈部鞘管,RUPS和房间隔穿刺针进行右心房穿刺

经右侧颈部再次植入透析导管后,造影显示导管末端在右心房

崔天蕾教授团队合影
300多万优质简历
17年行业积淀
2万多家合作名企业
微信扫一扫 使用小程序
