职位推荐
- 珍格医疗-临床销售 15001-20000
- 地奥制药-医药代表 6001-8000
- 普利德医疗-医疗设备销售经理 面议
- 大唐-兼职招商经理 面议
- 景德中药-直营经理 6001-8000
- 安邦医药-省区招商经理 8001-10000
- 恒瑞医药-医药信息沟通专员 6001-8000
- 黄河中药-学术讲师 8001-10000
发布日期:2025-11-10 浏览次数:47
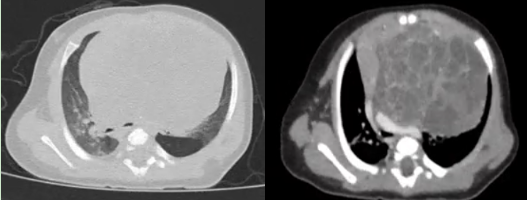
近日,一名仅2月龄、体重只有5.2kg的男婴,因胸闷、呼吸困难来华西医院小儿外科徐畅主任医师处就诊。经CT检查发现,其纵隔内有一个巨大肿块,最大直径 7.4×6.0cm,像胸腔里长一个巨大的“石榴”,严重压迫心脏、左主支气管及肺动脉,不尽快摘除,随时可能引发呼吸循环衰竭,危及生命。

患儿胸部CT影像
患儿极端年幼、体重低、纵隔肿瘤巨大压迫了重要脏器……面对这样一个麻醉手术风险极高的“高难度病例”,徐畅主任医师立即启动多学科协作机制。小儿外科、麻醉手术中心、心脏大血管外科、重症医学科等联合组成多学科团队(MDT),针对患儿的具体情况进行了周密讨论和术前评估。
此次手术的最大挑战在于围手术时期的麻醉管理。肿瘤严重压迫心脏和大气道,患儿在诱导麻醉、建立气道及循环管理过程中存在随时心跳骤停或呼吸道完全阻塞的风险。为此,朱涛教授带领麻醉手术中心团队提前预演了多种可能出现的紧急情况,针对患儿制定了详尽的气道管理与循环支持紧急预案。同时协调好人员安排,准备好特殊器械,梳理围手术期流程,为手术顺利实施提供保障。“对这样体重只有5公斤的婴儿,气道很小,肿瘤又压迫心脏和支气管,我们在麻醉诱导的每一步都如履薄冰,几乎没有犯错的余地。” 麻醉科左云霞主任医师回忆道。
小儿外科主刀医生徐畅主任医师与心脏大血管外科赁可主任医师联合设计肿瘤切除手术方案,并且准备万一麻醉插管失败后需立即开通体外循环的备用方案,为孩子争取时间。重症医学科ECMO团队全体待机,负责术后监护和支持治疗,为手术安全保驾护航。

麻醉科朱涛教授、左云霞教授、何裔主治医师及麻醉团体正在为患儿麻醉

麻醉体外循环团队备机中
手术当天,麻醉插管团队、体外循环团队、外科手术团队、手术室护理团队、重症监护团队全体“待机”等待手术开始。随着麻醉顺利实施、手术团队终于直视到那个几乎充满前纵隔的巨大肿瘤。经过1个小时的精细操作,肿瘤被完整切除,压迫解除。在多学科团队的密切配合下,手术顺利完成。经重症医学科监护治疗,患儿顺利转回普通病房。
随后,小儿外科护理团队根据患儿年龄、生理特点及术式差异,精心制定个体化的呼吸护理方案,从单人病房避免术后交叉感染、呼吸功能评估、体位管理到吸痰、雾化及早期呼吸训练等环节均细致落实,确保术后肺功能的恢复与呼吸道通畅,为患儿顺利康复提供了坚实保障。术后患儿呼吸、精神、饮食都恢复良好,目前已顺利出院。
经术后病理诊断被确诊为不成熟畸胎瘤,患儿需要术后长期随访,小儿外科将通过完善的随访机制,结合线上及线下门诊,对患儿出院后的恢复过程进行多学科的长期、动态追踪。

小儿外科徐畅主任医师、心脏大血管外科赁可主任医师正为患儿实施手术
此次手术的成功救治再次体现了华西医院在儿童疑难危重症救治中的综合实力,医院将继续坚持“以患者为中心”,不断提升多学科协作水平,为更多危重患儿带来生的希望。
300多万优质简历
17年行业积淀
2万多家合作名企业
微信扫一扫 使用小程序
