职位推荐
- 珍格医疗-临床销售 15001-20000
- 地奥制药-医药代表 6001-8000
- 普利德医疗-医疗设备销售经理 面议
- 大唐-兼职招商经理 面议
- 景德中药-直营经理 6001-8000
- 安邦医药-省区招商经理 8001-10000
- 恒瑞医药-医药信息沟通专员 6001-8000
- 黄河中药-学术讲师 8001-10000
发布日期:2025-11-13 浏览次数:45
近日,我院胸外科胡杨副主任医师团队通过个性化的定制修复手术,成功救治一例经多次手术治疗失败的食管癌术后气管-胃食管吻合口瘘的患者,再次展现了我院胸外科对复杂获得性气管食管瘘的手术和围术期管理水平。
患者老秦(化名),57岁,2年多前因“食管癌”在外院行手术治疗。术后不幸发生气管食管瘘并发症,在外院经两次手术修补,均以失败告终。因为有瘘口,为了尽量避免进食时导致吸入性肺炎,老杨已有两年没有经口进食,生活质量受到极大影响。
气管食管瘘(Tracheo-oesophageal fistula,TOF)是指由于肿瘤、气管插管、异物等各种原因导致的气管与食管之间产生异常交通的一类疾病。气管食管瘘病人由于经口饮食后食物会从气管进入肺内,造成肺部严重感染,且死亡风险极高,患者的生活质量大大下降、生命安全没有保障。而获得性气管食管瘘是致死率极高的一类疾病,侥幸存活的患者也会由于不能进食、反复感染等原因严重影响生活质量。手术治疗是这类患者最后的希望,但气管食管瘘的外科手术手术大,风险高,是绝大部分医院和胸外科医生不愿意触碰的禁区,多次手术之后的气管食管瘘更是这其中最困难和危险的情况。

图1:气管食管瘘口
经推荐,老秦慕名来到我院胸外科胡杨副主任医师处就诊。经检查发现,老秦的病情与其他气管食管瘘患者相比,更为复杂和严重:一是瘘口所处位置较为“刁钻”。患者气管食管间瘘口位于颈胸交界部位,无论是从颈部或是胸部入路均难以充分暴露瘘口;二是瘘口情况较为糟糕。该患者于外院多次行瘘口修补手术,瘘口附近势必粘连严重、组织结构难以辨认,损伤喉返神经、颈胸部血管等重要结构的风险高;组织血供破坏严重,术后缺血坏死风险高;三是患者营养严重不足。该患者由于“气管食管瘘”已两年未经口进食,身体非常虚弱。

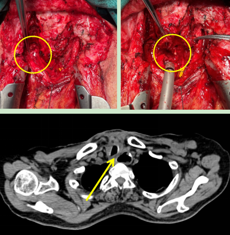
图2:术中情况(左)喉返神经监测仪监测喉返神经,(右)离断气管暴露食管瘘口;
(下)术后CT显示原气管食管间瘘口已修补。
“通常气管食管患者没有固定的手术方式,医生会根据病因,瘘口所在部位、大小、长度和患者身体条件不同制订个性化的手术方案。”胡杨副主任医师表示。为此,胡杨团队针对老秦病情,个性化制定了周密详实的手术方案、术中应急预案和术后管理策略。
在与患者及家属充分沟通后,胡杨团队为患者行“经颈部及正中开胸气管食管瘘修补术,胸大肌带蒂肌瓣转移成形术”。术中使用喉返神经监测保护喉返神经,使用带蒂胸大肌肌瓣隔绝气管与食管间瘘口。手术顺利完成,术后患者未发生声音嘶哑。
术后第五天,患者突然出现颈部皮下气肿,经检查是因为之前院外手术形成的瘢痕,导致气管缺血坏死,出现气管吻合口瘘。这是多次手术的患者术后可能出现的问题之一,处理极其困难,若处理不当极易造成慢性胸骨感染,甚至威胁生命。胡杨副主任医师立马安排第二次手术,术中使用另一侧带蒂胸大肌肌瓣修补并加固了气管瘘口,术后复查显示气管瘘口成功修补。
在全体医护人员的共同努力下,老秦顺利度过了感染、气管、食管吻合口瘘等重重难关。后1月复查显示,瘘口修复完好,再无交通,老秦逐渐恢复了经口进食。
据了解,近五年来,胡杨副教授团队已为30+例饱受疾病痛苦的气管/支气管/肺-食管/胸胃瘘患者进行了个性化的定制修复手术。这名患者的成功救治,充分体现了其团队对高风险复杂疑难重症病例实施个体化精细治疗的能力及担当,也展现出我院胸外科作为全国疑难重症救治中心的坚强实力。
300多万优质简历
17年行业积淀
2万多家合作名企业
微信扫一扫 使用小程序
